Maximum intensity projection and minimum intensity projection can be insightful for mapping of vessels in 3D-slabs. In this post, I describe the application of intensity projections with LAYNII.
Usage
The LAYNII program that performs the intensity projections is called: LN_INTPRO, which stands for Layer Nifti INTensity PROjection.
Its basic usage is:
LN_INTPRO -image file.nii -min -direction 3 -range 5
- The
-max,-minoption describes if its does a maximum intensity projection and minimum intensity projection. - The option
-direction 1defines along which dimension the intensity should be projected to; 1 stand for x, 2 stand for y, and 3 stands for slice direction. - The option
-rangeit not mandatory and is defines the the range of neighbouring voxels included. The default is that the entire dimension is collapsed. The value 5 refers to integer number of voxels.
Examples
Here I am using a MEAN BOLD time series as a reference. The data used here are from the open Dataset on OpenNeuro and can also be downloaded here.

Example 1:
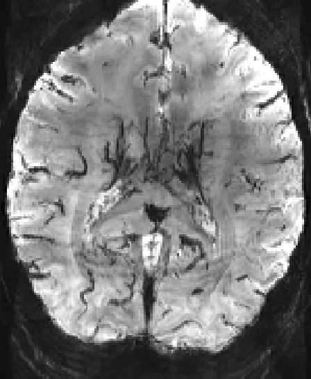
In this example, the range of the minimum intensity projection is changed.
LN_INTPRO -image BOLD.Mean.nii -min -direction 3 -range 5
LN_INTPRO -image BOLD.Mean.nii -min -direction 3 -range 15

Example 2:
In this example, the direction of the intensity collapse is shown:
LN_INTPRO -image BOLD.Mean.nii -min -direction 1 -range 5
LN_INTPRO -image BOLD.Mean.nii -min -direction 2 -range 5
LN_INTPRO -image BOLD.Mean.nii -min -direction 3 -range 5



Acknowledgement:
This program is motivated comments from Jonathan Polimeni at ISMRM 2018 in Paris, that the intensity projection might be helpful to determine if VAICA results are really dominated by vessels. Eventually it was implemented to reproduce vessel maps shown in Kendrick Kay’s critical assessment paper.
All LAYNII program executions are tested for version v.1.5.6 and will probably work for later versions too.